一般診療
虫歯治療や歯周病治療などの一般的な口腔内トラブル全般に対応する歯科治療です。可能な限り痛みやストレスなく治療できるよう心掛けています。
小児歯科
お子様の歯のことでお悩みの方は、お気軽にご相談ください。お子様が幼く、治療が難しい場合は少しづつ慣れてもらえるよう、成長に合わせた対応もしております。
歯のクリーニング
ホワイトニング
当院では、ご自宅で行うホームホワイトニングを行っています。
費用は、上下前歯分で35,000円~となります。
なお、ホワイトニングを行う前に、歯の状態やクリーニングの必要性などを確認する必要があります。
そのため、事前に診察を受けていただく必要があります。
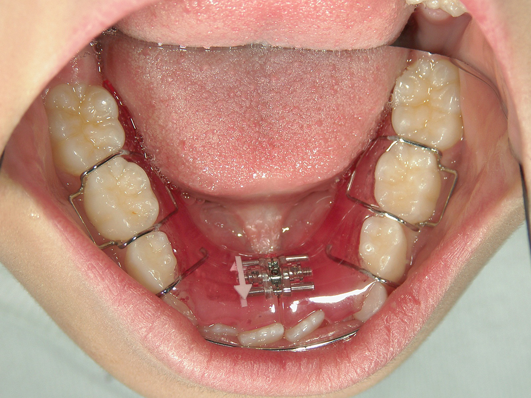
小児矯正
小児矯正のメリットは成長期に矯正を行うことで歯の移動が大人よりも早く、周囲組織ともなじみやすい、ということです。
小児矯正の時期については、お子様の永久歯の生え揃い状況などにより最適なタイミングが異なります。まずはお気軽にご相談ください。
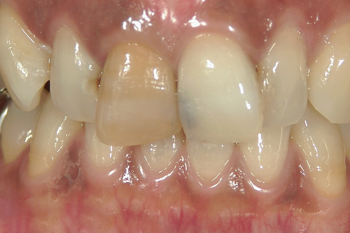
補綴(ほてつ)/被せ物
セラミック施術のビフォーアフター
補綴(ほてつ)とは、歯が欠けたり、無くなった場合に人工物で補うことです。
入れ歯、ブリッジ、クラウンなどの治療方法があります。保険適応のもの以外にも、セラミックや金属の見えない入れ歯なども対応可能です。
治療時間や費用、患者様の状態に合わせた最適な治療方法をご提案いたします。
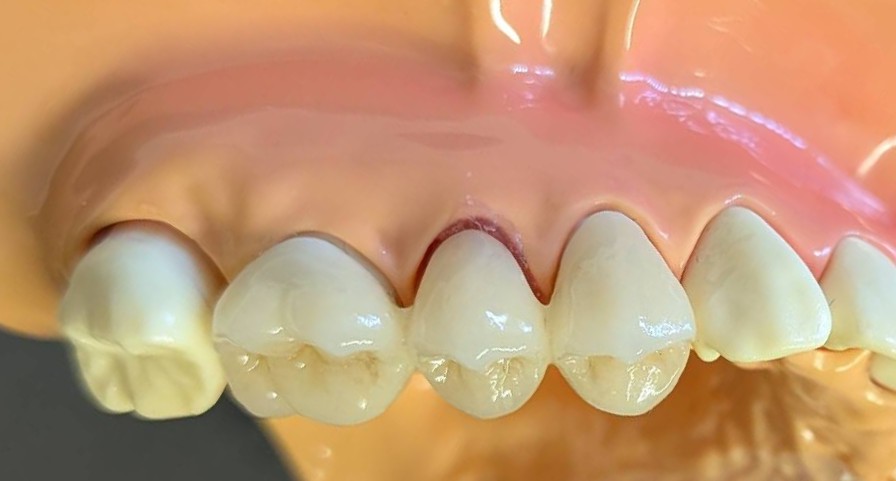
ノンクラスプデンチャー
保険のブリッジ
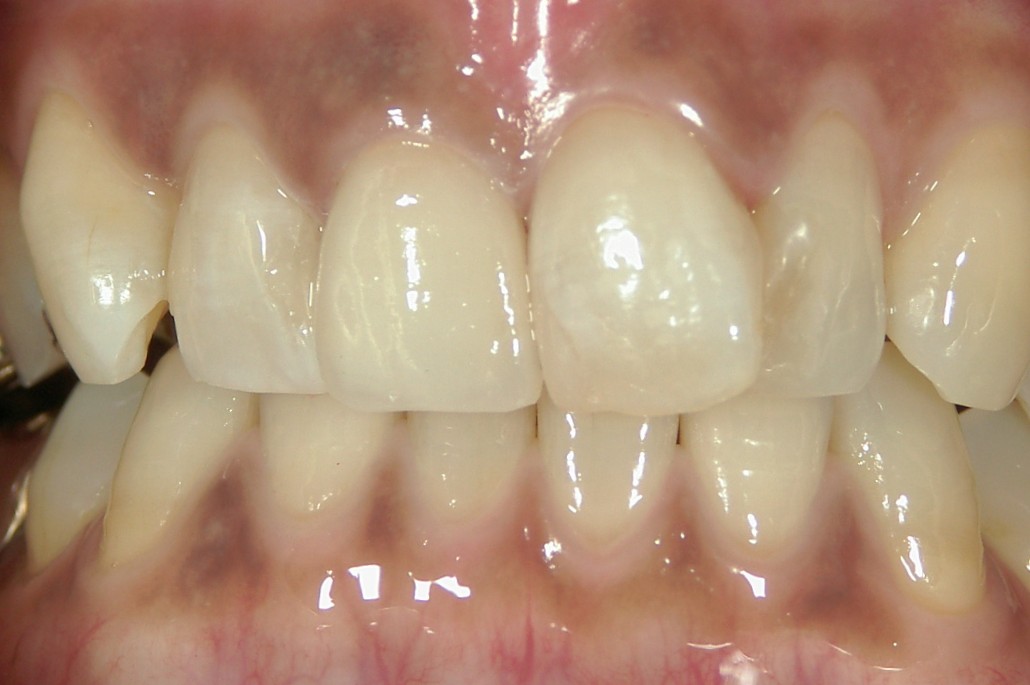
自費のブリッジ
顎関節症
顎関節症とは、あごの関節や筋肉に痛みや違和感が生じ、開閉口に支障が出る症状です。
マウスピースやかみ合わせの調整、チェアサイドでの整復など、症状や原因に応じた治療をご提案いたします。
悪性腫瘍検査
当院では、「イルミスキャン」という光学撮影機を用いて、悪性腫瘍の早期発見に努めています。
※この検査は、あくまで精度を高める検査方法であり、確定診断を行うものではありません。
検査は保険適用外となり、1回2,000円~です。
ご希望の方は、事前にご予約をお願いいたします。
口腔機能低下症
高齢化がすすみ、口腔機能低下によりおいしく食事でできないケースが増えています。唾液量、噛む力、咀嚼能力、滑舌、飲み込み、舌汚れ等を検査し、機能の衰えがみられたらすぐにトレーニングを行い衰えを未然に防ぐ、あるいは回復させる試みです。保険適応です。
訪問診療
被介護者の方など、歯医者への通院が困難な方のために訪問診療も行っております。
虫歯の治療だけでなく、入れ歯やお口の中のチェック、口腔ケアにも対応いたします。
